Presentamos el caso de un paciente masculino de 57 años evaluado por cuadro respiratorio crónico caracterizado por tos persistente, pérdida de peso y deterioro progresivo de la tolerancia al esfuerzo, con sospecha clínica de tuberculosis pulmonar activa.
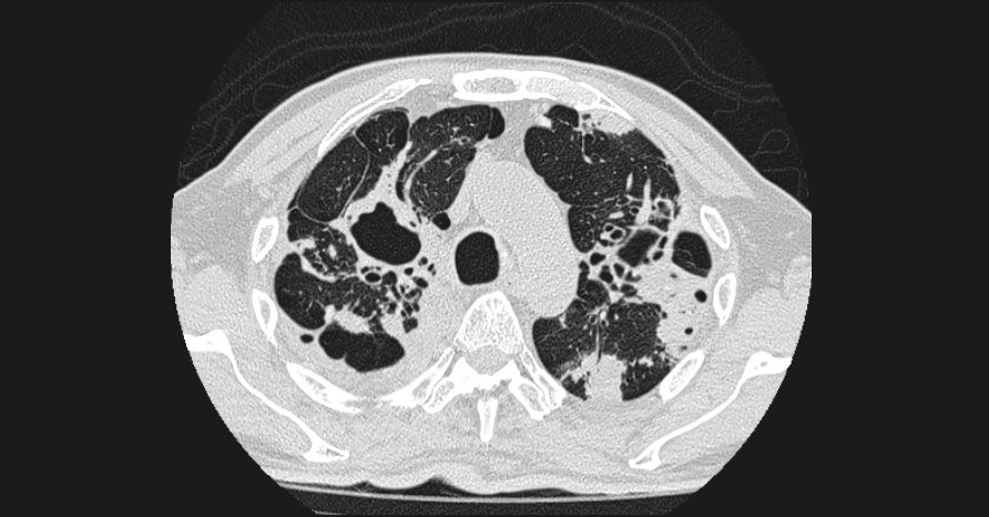
La tomografía de tórax contrastada demostró distorsión difusa de la arquitectura pulmonar secundaria a múltiples áreas de consolidación alveolar bilateral, asociadas a patrón de árbol en gemación y múltiples cavitaciones pulmonares. Destaca la presencia de una cavidad en el lóbulo superior izquierdo que contiene una lesión nodular intracavitaria compatible con bola fúngica, hallazgo sugestivo de aspergiloma desarrollado sobre cavidad pulmonar previa.
Además, se identificó derrame pleural derecho, neumotórax apical derecho probablemente secundario a ruptura cavitaria y cambios pulmonares crónicos compatibles con enfisema, con afectación estimada del 40–50% del parénquima pulmonar.
Los hallazgos en conjunto son altamente sugestivos de tuberculosis pulmonar difusa activa complicada con colonización fúngica intracavitaria, entidad que incrementa el riesgo de hemoptisis y deterioro respiratorio progresivo, por lo que se recomienda correlación microbiológica y manejo especializado oportuno.
Este caso resalta la importancia de la tomografía computarizada en la evaluación de pacientes con sospecha de infección pulmonar crónica, permitiendo identificar complicaciones asociadas y orientar el manejo clínico.
