Se presenta el caso de paciente masculino de 70 años que consulta al servicio de emergencia por deterioro neurológico agudo caracterizado por cefalea intensa, disminución del estado de alerta y debilidad en hemicuerpo izquierdo. Familiares refieren antecedente de caída reciente en el domicilio días previos.
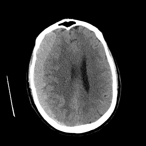
Se realiza tomografía cerebral simple de urgencia, la cual demuestra colección extraaxial hemisférica derecha de localización frontoparietal, con morfología predominantemente semilunar, adquiriendo en algunas áreas aspecto lenticular. La colección presenta densidad compatible con sangre aguda (aproximadamente 50 UH), con espesor máximo de 25 mm y volumen estimado de 100 cc.
La lesión condiciona importante efecto de masa, evidenciado por:
- Aplanamiento de surcos corticales derechos
- Alteración leve en la diferenciación sustancia gris-blanca por edema compresivo
- Desviación de la línea media hacia la izquierda de aproximadamente 10 mm
- Reducción de la amplitud del ventrículo lateral derecho
- Compresión leve del mesencéfalo
No se identifican otras lesiones hemorrágicas intraparenquimatosas ni signos de infarto agudo asociados en el momento del estudio.
Los hallazgos son compatibles con hematoma extraaxial derecho (subdural agudo vs epidural atípico), con repercusión significativa sobre estructuras intracraneales, constituyendo una urgencia neuroquirúrgica.
Este caso resalta la importancia de la tomografía cerebral simple como estudio inicial en pacientes con deterioro neurológico agudo, permitiendo identificar rápidamente colecciones hemorrágicas, cuantificar su volumen y valorar el grado de efecto de masa, información crucial para la toma de decisiones terapéuticas inmediatas.
