Se presenta el caso de paciente femenina de 69 años con antecedente de hepatopatía crónica, quien fue referida para estudio tomográfico por sospecha de lesión hepática en contexto de alteración de pruebas de función hepática y distensión abdominal progresiva.
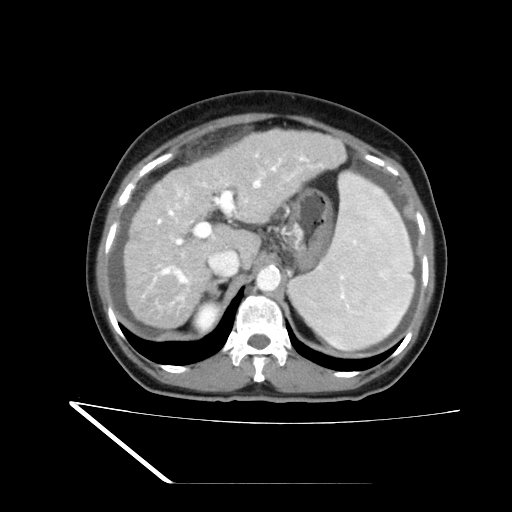
La tomografía multifásica demostró hígado de bordes irregulares, con redistribución del volumen y parénquima levemente heterogéneo, hallazgos compatibles con cirrosis hepática. No se identificaron lesiones focales sospechosas en el momento del estudio.
Se documentaron datos claros de hipertensión portal, caracterizados por dilatación de la vena porta (16 mm), esplenomegalia significativa (volumen aproximado de 800 cc) y dilatación de la vena esplénica. Asimismo, se evidenció líquido libre intraabdominal distribuido en recesos peritoneales, con volumen estimado de 300 cc, compatible con ascitis secundaria a hepatopatía crónica.
En el tracto gastrointestinal se observaron varices esofágicas y engrosamiento difuso de las paredes gástricas, sugestivo de cambios inflamatorios, así como engrosamiento difuso del intestino delgado y del colon ascendente, hallazgos compatibles con enteritis y colitis en este contexto clínico.
Como hallazgos adicionales, se identificaron quistes renales simples derechos (Bosniak I), datos de nefrocalcinosis bilateral, hernia epigástrica no complicada y cambios osteodegenerativos propios de la edad. También se evidenciaron granulomas pulmonares calcificados y cardiomegalia leve.
Este caso ilustra la utilidad de la tomografía abdominal multifásica en la evaluación integral de pacientes con cirrosis hepática, permitiendo no solo descartar lesiones focales malignas, sino también identificar complicaciones asociadas como hipertensión portal, ascitis y varices, fundamentales para la estratificación del riesgo y planificación terapéutica.
