Se presenta el caso de paciente masculino de 83 años con antecedente de evento vascular cerebral previo, quien consulta al servicio de emergencia por deterioro neurológico agudo caracterizado por disminución del estado de conciencia, inestabilidad para la marcha y vómitos de inicio súbito.
Ante la sospecha de evento vascular cerebral, se realiza tomografía cerebral simple de urgencia.
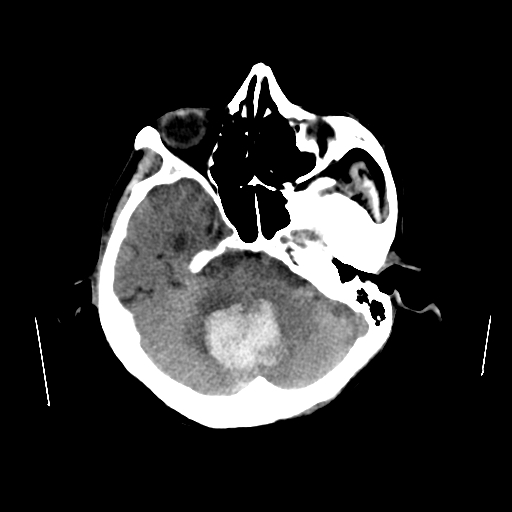
El estudio demuestra hematoma intraparenquimatoso en la fosa posterior con compromiso del vermis cerebeloso y extensión al hemisferio cerebeloso derecho, con dimensiones aproximadas de 39 × 40 × 35 mm. La lesión se acompaña de edema perilesional y produce leve compresión sobre las estructuras del tallo cerebral, así como discreta compresión del cuarto ventrículo.
Adicionalmente, se identifica hematoma intraparenquimatoso subcortical en la región parietal derecha que mide aproximadamente 12 × 11 × 16 mm, el cual muestra leve incremento de tamaño en comparación con el estudio previo.
Se observan además múltiples hallazgos asociados a enfermedad cerebrovascular crónica, incluyendo extensa hipodensidad de la sustancia blanca periventricular y profunda compatible con leucoaraiosis por enfermedad de pequeños vasos, así como área hipodensa parieto-occipital izquierda sugestiva de evento vascular isquémico subagudo o crónico.
Como hallazgo adicional se identifica macrocalcificación tubular irregular en la región inferior del hemisferio cerebeloso izquierdo, hallazgo que puede corresponder a angiomatosis leptomeníngea, por lo que se sugiere considerar la posibilidad de síndrome de Sturge-Weber.
También se documentan abundantes calcificaciones ateroescleróticas intracraneales, cambios cerebrales involutivos propios de la edad con dilatación ventricular y prominencia de surcos corticales, así como antecedente de craneostomía antigua en región parietal derecha.
Este caso ilustra una hemorragia cerebelosa aguda con efecto compresivo sobre el tallo cerebral en un paciente con enfermedad cerebrovascular crónica avanzada, situación que representa una urgencia neurológica debido al riesgo de deterioro rápido por compromiso de estructuras vitales en la fosa posterior. La tomografía computarizada constituye el método de elección para la detección rápida de hemorragias intracraneales y la evaluación del efecto de masa asociado.
