Se presenta el caso de paciente femenina de 48 años con antecedente reciente de pielonefritis aguda tratada de forma ambulatoria, quien consulta por persistencia de dolor lumbar izquierdo, fiebre intermitente y malestar general. Debido a la persistencia de los síntomas y sospecha de complicación infecciosa, se solicita urotomografía con contraste.
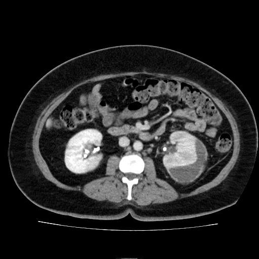
El estudio demuestra que el riñón izquierdo se encuentra aumentado de tamaño, con realce heterogéneo del parénquima renal en las fases corticomedular y nefrográfica, hallazgos compatibles con cambios inflamatorios secundarios a pielonefritis. Asociado a estos hallazgos, se identifica colección perirrenal localizada en la cara posterior del riñón izquierdo, con densidad líquida aproximada de 20 UH y paredes que realzan con el medio de contraste, con dimensiones aproximadas de 32 × 72 × 108 mm y volumen estimado de 130 cc, compatible con absceso perirrenal.
Se observa además presencia de catéter doble J en ambos sistemas colectores, con adecuada excreción del medio de contraste y sin evidencia de dilatación ureteral ni del sistema pielocalicial.
El riñón derecho presenta realce levemente heterogéneo, sugestivo de cambios inflamatorios residuales por pielonefritis previa, sin evidencias de colecciones ni lesiones focales.
Entre los hallazgos adicionales se identifican cambios inflamatorios en la grasa pararrenal izquierda con adenomegalias reactivas, engrosamiento difuso de las paredes vesicales compatible con cistitis, hepatomegalia leve, y engrosamiento difuso de las paredes gástricas sugestivo de gastritis.
Este caso ilustra una complicación infecciosa de la pielonefritis aguda, en la cual la progresión del proceso inflamatorio puede condicionar la formación de abscesos perirrenales. La tomografía contrastada representa el método de elección para la detección y caracterización de estas colecciones, permitiendo definir su extensión, relación con estructuras adyacentes y orientar el manejo terapéutico, que puede incluir drenaje percutáneo o manejo quirúrgico dependiendo de la evolución clínica.
