Se presenta el caso de paciente femenina de 69 años con antecedente de hipertensión arterial y enfermedad vascular crónica, quien consulta al servicio de emergencia por inicio súbito de debilidad en el hemicuerpo derecho asociada a dificultad para hablar y desviación de la comisura labial, síntomas de pocas horas de evolución.

Ante la sospecha clínica de evento vascular cerebral agudo, se realiza tomografía cerebral simple de urgencia.

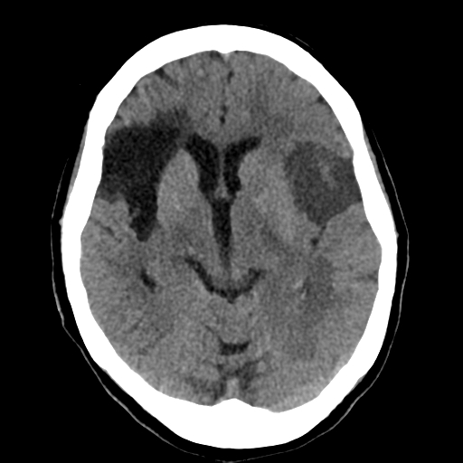
TC – ECV Caso 3
Scroll / arrastrá

El estudio demuestra una extensa área de hipodensidad cortico-subcortical en la región frontoinsular izquierda, con dimensiones aproximadas de 35 × 31 × 40 mm, hallazgo compatible con evento vascular isquémico agudo en territorio de la arteria cerebral media izquierda. Asociado a este hallazgo se identifica una pequeña hipodensidad subcortical en la región parietal izquierda, sugestiva de evento vascular isquémico agudo de menor extensión.

De forma adicional, en el hemisferio cerebral derecho se observa extensa área de encefalomalacia frontoparietal con extensión a la región insular, hallazgo compatible con evento vascular isquémico crónico, lo que sugiere antecedente de infarto cerebral previo.

No se identifican colecciones hemorrágicas intracraneales ni efecto de masa significativo al momento del estudio.

Se observan además pequeños granulomas calcificados corticales frontales y parietales bilaterales, compatibles con secuelas de neurocisticercosis en fase nodular calcificada, así como calcificaciones ateroescleróticas en las arterias intracraneales. También se identifican cambios cerebrales involutivos propios de la edad, caracterizados por leve dilatación ventricular y prominencia de surcos corticales.

Este caso ilustra una presentación de evento vascular cerebral isquémico agudo en el contexto de enfermedad cerebrovascular crónica, donde la tomografía cerebral simple permite identificar lesiones isquémicas recientes, descartar hemorragia intracraneal y evidenciar secuelas de eventos vasculares previos, información fundamental para orientar el manejo clínico inmediato.

por Dr Paz

Médico Radiólogo

Deja una respuesta

Tu dirección de correo electrónico no será publicada. Los campos obligatorios están marcados con *