Presentamos el caso de una paciente femenina de 80 años que acudió a evaluación médica por disnea progresiva, fatiga y limitación funcional reciente, con sospecha clínica de tromboembolia pulmonar. Debido al deterioro respiratorio y factores de riesgo cardiovasculares asociados, se solicitó una angiotomografía de tórax para valoración vascular pulmonar.

TC – Stack TEP
Scroll / arrastrá

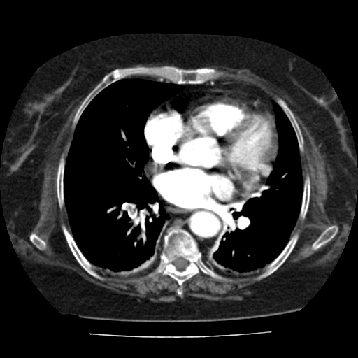
El estudio demostró defectos de llenado intraluminal en arterias segmentarias medias e inferiores del pulmón derecho, compatibles con tromboembolia pulmonar aguda periférica. Asimismo, se documentó dilatación del tronco y de las arterias pulmonares principales, hallazgos sugestivos de hipertensión pulmonar.

Adicionalmente, se observó cardiomegalia significativa, con reflujo leve del medio de contraste hacia las venas suprahepáticas, hallazgo que sugiere compromiso hemodinámico compatible con cardiopatía congestiva. El parénquima pulmonar mostró patrón septal y en mosaico con áreas en vidrio deslustrado, en relación con congestión pulmonar leve. Se identificó también derrame pleural laminar bilateral asociado a atelectasias laminares.

Entre los hallazgos adicionales se encontraron signos de esteatosis hepática, probable litiasis vesicular, pequeña hernia hiatal por deslizamiento y cambios osteodegenerativos de la columna dorsal.

Este caso ilustra la importancia de la angiotomografía de tórax en pacientes ancianos con disnea aguda, permitiendo no solo la detección de tromboembolia pulmonar, sino también la evaluación de repercusiones cardiovasculares y condiciones asociadas que impactan el pronóstico y manejo clínico.

por Dr Paz

Médico Radiólogo

Deja una respuesta

Tu dirección de correo electrónico no será publicada. Los campos obligatorios están marcados con *