Datos clínicos
Paciente masculino de 74 años, con antecedente de hipertensión arterial y limitación funcional progresiva para la marcha en las últimas semanas, quien consulta al servicio de emergencia por presentar disnea súbita de moderada intensidad asociada a dolor torácico de características pleuríticas y sensación de fatiga progresiva. Familiares refieren disminución reciente de la movilidad por cuadro respiratorio previo y reposo prolongado en domicilio.
Al ingreso presenta taquipnea leve, saturación de oxígeno disminuida y discreta taquicardia, por lo que se sospecha evento tromboembólico pulmonar y se solicita angiotomografía de tórax.
Método de imagen
Angiotomografía de tórax con contraste intravenoso en fase angiográfica pulmonar.
Hallazgos relevantes
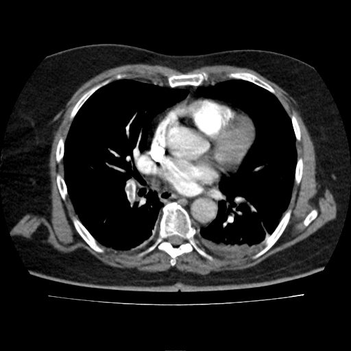
Se identifican defectos de llenado intraluminal en arterias pulmonares segmentarias del lóbulo inferior derecho con extensión a ramas basales, así como defecto de llenado en arteria segmentaria basal posterior izquierda, compatibles con tromboembolia pulmonar periférica bilateral, de predominio derecho.
Se observan atelectasias basales posteriores bilaterales asociadas a derrame pleural laminar leve, mayor en el hemitórax izquierdo. Se documenta cardiomegalia leve y cambios ateroescleróticos vasculares. No se identifican masas pulmonares ni consolidaciones neumónicas extensas.
Impresión diagnóstica
Tromboembolia pulmonar aguda periférica bilateral, con mayor afectación derecha, asociada a atelectasias pasivas y derrame pleural laminar.
Discusión breve
La tromboembolia pulmonar constituye una causa frecuente de disnea aguda en pacientes de edad avanzada, especialmente en presencia de inmovilización reciente o enfermedades intercurrentes. La angioTC de tórax es actualmente el método de elección para confirmar el diagnóstico, permitiendo además evaluar complicaciones pulmonares y repercusión cardiovascular.
En este caso, la localización periférica y la ausencia de signos claros de sobrecarga ventricular derecha sugieren un evento de carga trombótica moderada, aunque clínicamente relevante.
Puntos de aprendizaje
- La disnea súbita en pacientes con movilidad reducida debe hacer sospechar TEP.
- La angioTC permite diagnóstico directo al demostrar defectos de llenado arteriales.
- Las atelectasias y pequeños derrames pleurales son hallazgos acompañantes frecuentes.
