Caso clínico: Invaginación basilar diagnosticada en tomografía sagital
Datos clínicos
Paciente masculino de 50 años que consulta por cefalea occipital crónica de larga evolución, con exacerbación en los últimos meses asociada a dolor cervical persistente y sensación de inestabilidad al caminar. Refiere además episodios ocasionales de mareo y parestesias intermitentes en extremidades superiores.
Por persistencia de los síntomas se solicita tomografía computarizada de cráneo y unión craneocervical.
Método de imagen
Tomografía computarizada simple con reconstrucción multiplanar, enfatizando plano sagital de la unión craneocervical.
Hallazgos tomográficos
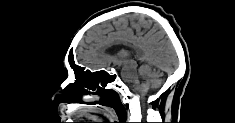
En reconstrucción sagital se observa ascenso del proceso odontoides por encima de la línea de Chamberlain, protruyendo hacia el foramen magno. El odontoides se encuentra impactando la cara ventral del bulbo raquídeo, con reducción del espacio óseo del foramen magno.
Se evidencia disminución del ángulo clivus-canal y alteración en la alineación de la unión craneocervical. No se identifican fracturas agudas ni lesiones líticas o blásticas asociadas.
El resto de las estructuras óseas de la base del cráneo muestran morfología conservada.
Impresión diagnóstica
Hallazgos compatibles con invaginación basilar.
Discusión
La invaginación basilar es una anomalía de la unión craneocervical caracterizada por el desplazamiento superior del odontoides hacia el interior del foramen magno. En estudios tomográficos, el diagnóstico se establece mediante la evaluación de líneas de referencia como:
- Línea de Chamberlain
- Línea de McGregor
- Línea de McRae
La tomografía en plano sagital es particularmente útil para valorar la anatomía ósea y confirmar el ascenso del odontoides.
Clínicamente puede manifestarse con:
- Cefalea occipital
- Dolor cervical crónico
- Signos piramidales
- Ataxia
- Síntomas bulbares en casos avanzados
La resonancia magnética se recomienda para evaluar compromiso neural si existe sintomatología neurológica progresiva.
Puntos de aprendizaje
- Siempre revisar la posición del odontoides en estudios sagitales.
- No confundir con pseudoinvaginación en pacientes con mala posición.
- La TC es el mejor método para evaluación ósea de la unión craneocervical.
- Correlacionar con clínica neurológica antes de decidir manejo.
