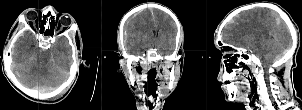
Paciente de 21 años, masculino, con historia de trauma craneal por accidente vial en motocicleta; con importante deterioro neurológico; al analizar la tomografía cerebral; se identifica hematoma epidural en fosa posterior izquierda, asociada con trazo de fractura; además hay hematoma subdural en hemisferio cerebral derecho, aumento de la densidad de los surcos y cisuras en relación con hemorragia subaracnoidea postraumática, y datos de edema cerebral difuso postraumático.
