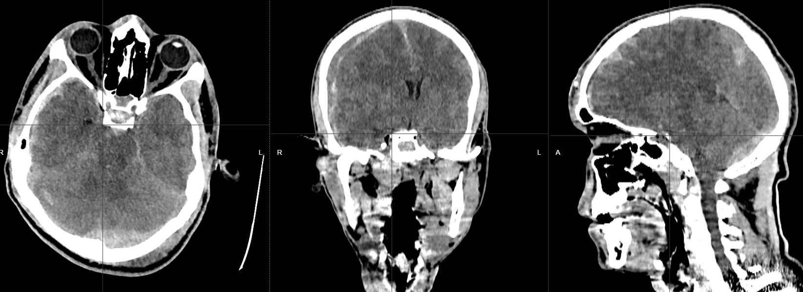
Tomografía cerebral simple en plano axial, coronal y sagital. Se identifica hematoma epidural en fosa posterior izquierda; hematoma subdural en hemisferio cerebral derecho y datos que sugieren edema cerebral.
Tomografía cerebral simple en plano axial, coronal y sagital. Se identifica hematoma epidural en fosa posterior izquierda; hematoma subdural en hemisferio cerebral derecho y datos que sugieren edema cerebral.

Paciente de 21 años, masculino, con historia de trauma craneal por accidente vial en motocicleta; con importante deterioro neurológico; al analizar la tomografía cerebral; se identifica hematoma epidural en fosa posterior izquierda, asociada con trazo de fractura; además hay hematoma subdural en hemisferio cerebral derecho, aumento de la densidad de los surcos y cisuras en relación con hemorragia subaracnoidea postraumática, y datos de edema cerebral difuso postraumático.

 

por Dr Paz

Médico Radiólogo

Deja una respuesta

Tu dirección de correo electrónico no será publicada. Los campos obligatorios están marcados con *