Se presenta el caso de paciente masculino de 60 años con antecedente de hipertensión arterial de larga data y episodios previos de déficit neurológico transitorio, quien consulta por alteración reciente del estado neurológico caracterizada por trastorno visual súbito y debilidad leve en extremidades.
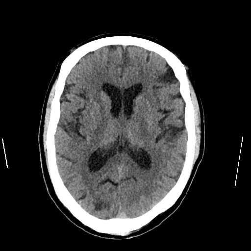
Se realiza tomografía cerebral simple de urgencia, identificándose múltiples áreas de hipodensidad cortico-subcortical distribuidas en ambos hemisferios cerebrales, compatibles con eventos vasculares isquémicos en distintos estadios evolutivos.
En el hemisferio derecho se observa:
- Hipodensidad occipital compatible con evento isquémico agudo/subagudo
- Área parietal sugestiva de evento subagudo/crónico
- Zona de encefalomalacia temporal posteroinferior compatible con infarto crónico
En el hemisferio izquierdo se identifican:
- Hipodensidad cortico-subcortical frontal sugestiva de evento subagudo/crónico
- Lesión parietal compatible con evento subagudo/crónico
- Hipodensidad globular subcortical occipital sugestiva de evento subagudo
No se evidencian colecciones hemorrágicas ni efecto de masa significativo al momento del estudio.
Los hallazgos son compatibles con cerebro multiinfarto, con lesiones bilaterales en diferentes territorios vasculares, patrón que sugiere posible etiología cardioembólica, especialmente por la distribución multifocal y bilateral.
Este caso resalta la importancia de la tomografía cerebral simple como herramienta inicial en la evaluación de pacientes con sospecha de evento vascular cerebral, permitiendo identificar lesiones en distintos tiempos evolutivos y orientar la búsqueda etiológica, incluyendo valoración cardiológica y estudios vasculares complementarios.
