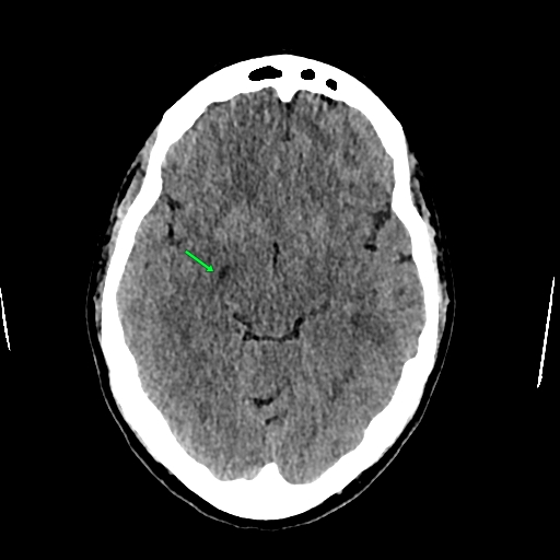
TC cerebral simple, axial. Se observa imagen ovoidea hipodensa en el sitio anatómico de la fisura coroidea derecha; hallazgo sugestivo de quiste de fisura coroidea derecha.
TC cerebral simple, axial. Se observa imagen ovoidea hipodensa en el sitio anatómico de la fisura coroidea derecha; hallazgo sugestivo de quiste de fisura coroidea derecha.

 

Paciente femenina de 29 años, quien se realiza tomografía cerebral contrastada por sintomatología de cefalea; al realizar la tomografía cerebral no se identifican alteraciones de importancia; únicamente en el sitio anatómico de la fisura coroidea derecha, se identifica imagen ovoidea, hipodensa, sugestiva de quiste de fisura coroidea derecha.

por Dr Paz

Médico Radiólogo

Deja una respuesta

Tu dirección de correo electrónico no será publicada. Los campos obligatorios están marcados con *