¿Puede una persona con diagnóstico de TERATOMA ovárico presentar alteraciones neurológicas?
La respuesta es sí. Pero ¿cual es su relación?
Imagina lo siguiente, un teratoma es un tipo de neoplasia de células germinales, donde crecen diferentes tipos de tejidos (entre ellos, tejidos blandos, hueso, grasa) pero en ocasiones también puede formar tejido nervioso; lo que puede hacer que el sistema inmunitario demuestre una reacción de rechazo contra los receptores de NMDA (N-metil-D-aspartato), con el fin de atacar a ese tejido del teratoma; sin embargo esos anticuerpos llegan al cerebro y da un lugar a un cuadro de encefalitis.
¿Qué síntomas tendría una persona con encefalitis anti-NDMA?
Normalmente comienzan con síntomas psiquiátricos (alucinaciones, cambios conductuales, ansiedad, psicosis, alteraciones en el sueño, convulsiones).
¿Cómo se logra el diagnóstico?
La mejor forma es una combinación de estudios de imagen y análisis laboratoriales; se debe hacer análisis del líquido cefalorraquídeo, donde es evidente pleocitosis y elevada concentración de proteínas; además que hay presencia de autoanticuerpos NMDA.
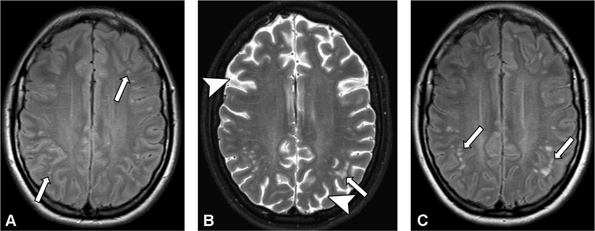
¿Cuales son los hallazgos típicos en resonancia magnética cerebral?
Generalmente causa atrofia de los lóbulos temporales.
Hiperintensidades corticales y subcorticales en FLAIR en los lóbulos temporales y cerebelo
Aquí un ejemplo (obtenido de Radiographics):
Se trata de una paciente femenina de 14 años, quien comienza con cefalea, alteraciones visuales, acatisia, y progresó a perdida de la conciencia.



Fuente: Zhang, Y., Li, Y., Zhang, X., & Wang, Y. (2023). A novel approach for efficient and accurate segmentation of brain tumors in MRI images. Radiology, 298(2), 457-466. doi:10.1148/rg.220173
