Se presenta el caso de un paciente masculino de 62 años que acudió al servicio de emergencia por inicio súbito de debilidad en el hemicuerpo derecho, dificultad para articular palabras y desviación de la comisura labial, síntomas de pocas horas de evolución, por lo que se sospechó evento vascular cerebral agudo y se solicitó tomografía cerebral simple de urgencia.
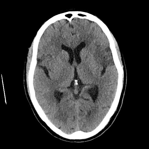
La tomografía evidenció una zona de hipodensidad corticosubcortical localizada en la región frontal posterior izquierda, con extensión hacia el opérculo frontal y región insular ipsilateral, asociada a discreto borramiento de surcos corticales en dicha región, hallazgos compatibles con evento vascular cerebral isquémico agudo en territorio de la arteria cerebral media izquierda.
No se identificaron signos de hemorragia intracraneal ni colecciones extraaxiales al momento del estudio, hallazgo relevante para la toma de decisiones terapéuticas iniciales.
Adicionalmente, se observaron cambios crónicos asociados a enfermedad de pequeños vasos cerebrales, manifestados por hipodensidad periventricular sugestiva de leucoaraiosis, así como un evento lacunar isquémico crónico en la cápsula externa izquierda, indicativo de daño vascular previo. También se documentaron calcificaciones ateroescleróticas en arterias intracraneales y cambios degenerativos cervicales propios de la edad.
Este caso destaca la importancia de la tomografía cerebral simple como estudio inicial en pacientes con sospecha de accidente cerebrovascular, permitiendo descartar hemorragia y detectar signos tempranos de isquemia cerebral, facilitando la rápida instauración del manejo terapéutico y reduciendo el riesgo de secuelas neurológicas permanentes.
